IGTクリニック「血管内がん治療専門」
- 診療科目
-
- がん治療
- 免疫療法
- 病院カテゴリ
-
- クリニック
- 治療(診療)カテゴリ
-
- 先進治療
- 治療
- 地域
-
- 近畿
- 住所
- 〒598-0047 大阪府泉佐野市りんくう往来南3番41 メディカルりんくうポート
- HP(URL)
- https://www.igtc.jp/index.html
- 専門分野
- 血管内癌治療(カテーテル&温熱治療)
- 第三者認証
-
放射線科認定医
放射線診断専門医
日本ハイパーサーミア学会認定医
IVR専門医
日本再生医療学会会員
- セールスポイント
-
血管内治療とは
カテーテルを使って、血管の中から病気を治療する方法の総称です。
IVR・画像下治療のひとつの治療方法であり、様々な分野で活躍する
治療法です。がん治療においては、多血性腫瘍に対して保険適応となっている治療です。
- 対応言語(日本語以外)
-
英語
中国語
- 予約可能なメニュー(プラン)登録
-
温熱治療・ハイパーサーミア
血管内がん治療(カテーテル)
- 診療実績
-

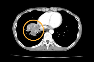
乳がん術後の胸壁再発は血管内治療の良い適応です。 全身抗がん剤が効きにくく、手術や放射線治療も適応にならないことが多くあります。 血管内治療で縮小することが期待できます。出血や感染の改善も期待できます。

乳がんの肝転移は、全身化学療法やホルモン療法が効かず、肝転移が現れた場合は、血管内治療が唯一の治療になります。 当院では積極的に治療を行っています。単発であることが判れば、肝転移だけを選択的に治療します。
- 施設No
- C0008
予約には新規ユーザ登録(ログイン)が必要です。









